آرشیو مطالب : صفحه ی ۴۵

مبتنی بر نانوذرات لیپیدی و RNA؛

توسعه یک فناوری برای درمان برخی بیماریهای مغزی

توسعه یک فناوری برای درمان برخی بیماریهای مغزی
در اسپانیا؛

کاهوی طلایی با ۳۰ برابر ویتامین بیشتر مهندسی شد

کاهوی طلایی با ۳۰ برابر ویتامین بیشتر مهندسی شد

اوپن ای آی هم دنبال پول درآوردن رفت

اوپن ای آی هم دنبال پول درآوردن رفت

فضانوردان اولین راهپیمایی خصوصی به زمین رسیدند

فضانوردان اولین راهپیمایی خصوصی به زمین رسیدند
استقرار در مدار ۵۵۰ كیلومتری؛

ماهواره چمران۱ توسط ماهواره بر قائم ۱۰۰ با موفقیت به فضا پرتاب شد

ماهواره چمران۱ توسط ماهواره بر قائم ۱۰۰ با موفقیت به فضا پرتاب شد
یافته های جدید نشان داد؛

میکروب ها بدون پاسپورت از کشوری به کشور دیگر سفر می کنند

میکروب ها بدون پاسپورت از کشوری به کشور دیگر سفر می کنند

۳۰ درصد کارمندان سامسونگ بیکار می شوند

۳۰ درصد کارمندان سامسونگ بیکار می شوند
مدیرعامل آسیاتك:

فیبر نوری تأثیر مستقیم در اقتصاد و توسعه دارد

فیبر نوری تأثیر مستقیم در اقتصاد و توسعه دارد

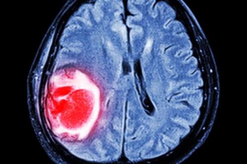
نانوذرات گیاهی با سرطان مرگبار مغز مقابله می کند

نانوذرات گیاهی با سرطان مرگبار مغز مقابله می کند

افزایش های قیمت پست پیشتاز و اضافه شدن وزن حجمی قیمت های پستی

افزایش های قیمت پست پیشتاز و اضافه شدن وزن حجمی قیمت های پستی
خرید اپل آیدی - ساخت اپل آیدی

پربیننده ترین ها
پربحث ترین ها
جدیدترین ها
idstore.ir - حقوق مادی و معنوی سایت ساخت اپل آی دی محفوظ است

ساخت اپل آی دی

سفارش ساخت اپل آی دی
«idstore، کلید ورود شما به دنیای اپل. دنیای اپل رو شخصی سازی کنید»